OVARIO POLIQUISTICO
¿Como saber si tengo ovarios poliquisticos?
El SOP (síndrome de ovario poliquístico) es un problema común entre las adolescentes y mujeres jóvenes. En realidad, una de cada 10 mujeres lo padece. Algunos de los síntomas más comunes incluyen:
-
Períodos menstruales irregulares que se presentan de 45 a 90 días.
-
Exceso de vello en cara u otras partes del cuerpo, conocido como hirsutismo.
-
Acné.
-
Incremento de peso y/o problemas para perder peso.
-
Manchas de piel más oscura en la parte posterior del cuello o en otros pliegues, conocido como acantosis nigricans.

¿Que causa el ovario poliquistico?
Un desbalance en las hormonas (mensajeros químicos) en tu cerebro y en tus ovarios es el causante de esta afección. Además, muchas adolescentes tienen niveles de insulina más elevados que los normales. El SOP se produce, en general, cuando la hormona llamada LH o los niveles de insulina están muy elevados, como consecuencia, tus ovarios producen un exceso de testosterona. Los ovarios no funcionan de manera adecuada pues reciben señales hormonales inadecuadas de la glándula pituitaria. Si estas señales no se regulan no podrás ovular (producir huevos). Por lo tanto no te puedes embarazar.
¿Qué pruebas se realizan para diagnosticar el SOP?
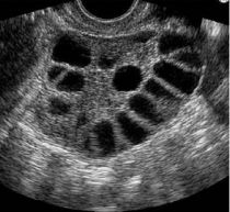
Durante la consulta se pregunta sobre tu ciclo menstrual y tu salud en general, luego se realiza un examen físico completo. Es muy probable que tengas que realizar una prueba de sangre para revisar tus niveles hormonales, los niveles de azúcar en la sangre y el colesterol. También, en la primera consulta se lleva a cabo un ultrasonido para evaluar el estado del útero y los ovarios.
En pacientes que tienen SOP, los ovarios pueden ser un poco más grandes y pueden tener quistes muy pequeños.
El estudio hormonal debe de realizarse de preferencia en los primeros 5 días de la menstruación o al menos después de tres meses de amenorrea.
Pruebas para determinar el SOP
-
LH
-
FSH y cociente LH/FSH
-
Androstenediona, dehidroepiandrostendiona (DHEA) y testosterona.
-
El estudio simultáneo de LH, FSH y androstenediona son de utilidad para diferenciar entre SOP y mujeres sanas.
-
se completa el estudio con las referencias del estradiol y la prolactina, para una evaluación completa del perfil hormonal ginecológico.
¿Tener SOP significa que tengo quistes en los ovarios?
El término “ovarios poliquisticos” significa que tienes muchos quistes pequeñitos o protuberancias dentro de tus ovarios. Algunas mujeres jóvenes con SOP tienen muchos quistes; otras sólo tienen algunos. Aunque tengas muchos, éstos no son dañinos y no necesitan ser extraídos.
¿Cuales son los tratamientos para el ovario poliquistico?
Llevar un estilo de vida saludable que incluya una alimentación sana y una rutina de ejercicios diaria son las partes más importantes del tratamiento para el SOP. También existen excelentes medicamentos que ayudan a controlar los períodos irregulares, el exceso de vello y el acné.
El tratamiento variará si se desea o no el embarazo. Si no se desea, la forma más común de tratamiento es la píldora anticonceptiva; sin embargo, otras opciones de terapia hormonal podrían incluir el anillo vaginal. Al tomar las píldoras podrás:
-
Corregir el desbalance hormonal
-
Disminuir los niveles de testosterona (lo que mejorará el acné y disminuirá el crecimiento de vello)
-
Regular tus periodos menstruales.
-
Disminuir el riesgo de tener cáncer de endometrio (el que se produce más comúnmente entre mujeres que no ovulan con regularidad).
-
Prevenir un embarazo no deseado en caso que seas activa sexualmente.
Si deseas embarazarte, el tratamiento es con medicamentos inductores de la ovulación y así como con otros que disminuyen la resistencia a la insulina, como el metformin. El control médico es muy importante, tener de manera controlada la ovulación evitara, a la larga, complicaciones indeseables.





